Best Wisdom Tooth Removal in Valasaravakkam - ASL Meenakshi Dental Care
Safe and gentle wisdom tooth removal, minimal discomfort and faster recovery times - experience expert care with our advanced wisdom tooth extraction procedures.


Safe, Gentle & Stress-Free Wisdom Tooth Extraction
At ASL Meenakshi Dental Care, we understand that wisdom tooth pain can be unbearable. Whether it’s swelling, infection, or discomfort while chewing, our expert dentists ensure gentle and painless wisdom tooth removal with advanced techniques and compassionate care.

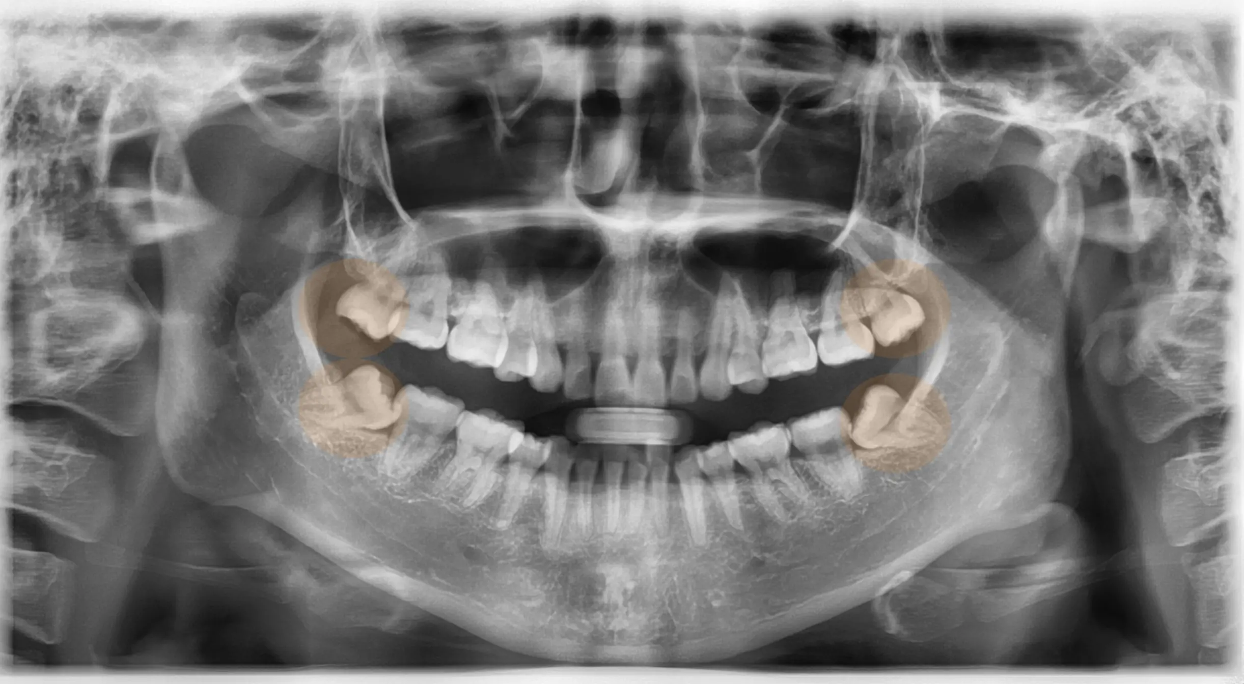
Why Wisdom Tooth Removal May Be Needed
Understanding the common reasons for wisdom tooth extraction and how it can improve your oral health and comfort.

Impacted Wisdom Teeth
Causing persistent pain, swelling and discomfort that affects your daily life and oral health.
- Pain and swelling in back of mouth
- Difficulty opening mouth fully
- Risk of cyst formation
- Can damage adjacent teeth

Gum Infections
Around partially erupted teeth leading to inflammation, pain and recurrent infections.
- Red, swollen and tender gums
- Recurrent pericoronitis
- Bad breath and taste
- Difficulty in maintaining hygiene

Tooth Decay
Due to hard-to-reach cleaning areas that attract bacteria and lead to cavities.
- Cavities in wisdom teeth
- Decay spreading to adjacent teeth
- Increased risk of infection
- Compromised overall dental health

Teeth Misalignment
Pressure on nearby teeth causing crowding, shifting and orthodontic issues.
- Crowding of front teeth
- Shift in tooth alignment
- Undermining orthodontic work
- Bite problems development

Jaw Pain & Chewing Difficulty
Affecting your ability to eat comfortably, speak clearly and maintain proper jaw function.
- Jaw joint pain (TMJ)
- Difficulty chewing food
- Headaches and earaches
- Limited mouth opening
Why Choose Us for Wisdom Tooth Extraction in Valasaravakkam?
Experienced Dentists
Over 20 years of surgical expertise in wisdom tooth extraction with proven track record of successful procedures.
Advanced Technology
Painless, minimally invasive removal using state-of-the-art dental equipment and modern surgical techniques.
Quick Recovery
Faster healing with advanced surgical methods and comprehensive post-operative care guidance.
Personalized Care
Step-by-step guidance before and after surgery, ensuring your comfort throughout the entire process.
Trusted by Patients
Hundreds of successful extractions done safely with excellent patient satisfaction and positive outcomes.
Safe & Sterile Environment
Strict adherence to international sterilization protocols ensuring your safety and infection-free treatment.
Our Wisdom Tooth Removal Process
A gentle, step-by-step approach for safe and painless wisdom tooth extraction.
Step 1 – Consultation & X-Ray
Detailed examination for personalized treatment
We check the position of your wisdom tooth using digital X-rays and a complete oral examination to recommend the safest and most effective removal solution.
Step 2 – Painless Extraction
Comfortable and stress-free procedure
Using local anesthesia and advanced tools, your wisdom tooth is removed with minimal discomfort. Our gentle techniques ensure a quick and pain-free experience.
Step 3 – Aftercare & Healing
Smooth recovery with guided care
Post-extraction, we provide detailed aftercare instructions and follow-up support to ensure fast, comfortable healing and long-lasting oral health.
What Our Wisdom Tooth Patients Say
Hear from our satisfied patients who experienced pain-free wisdom tooth removal and quick recovery
I was terrified of wisdom tooth removal, but the procedure was completely painless! The team made me feel so comfortable and the recovery was much faster than I expected.
My impacted wisdom tooth was causing constant pain. The extraction was quick and professional. Back to normal in just 2 days! Highly recommend their expertise.
What a relief after getting my wisdom teeth removed! No more jaw pain or infections. The entire process was smooth and the staff was incredibly caring.
I put off wisdom tooth removal for years due to fear. The gentle approach and advanced technology made it a breeze. Wish I had done it sooner!
Frequently Asked Questions
Find answers to common questions about our dental implant procedures and services.
Book Your Wisdom Tooth Removal Today
Don’t let tooth pain affect your daily life. Visit ASL Meenakshi Dental Care – the best dental clinic for wisdom tooth extraction in Valasaravakkam. Our caring team ensures a smooth, stress-free experience.
Looking for Wisdom Tooth Removal Services near you?
best dentists | best dental clinic | best dentists near me | tooth dentist | dental clinic | good dentists | dental clinics near me | dental dentist | dental care | best dental care near me | dental services | wisdom extraction | wisdom dental | best tooth extraction near me | the best dental clinic near me | dentist best near me | best dental services near me | dentist near me extraction | dental tooth | dentists near | top dental care | good dentists near me | top dental clinic near me | dentists near me | dental appointment | nearby dental clinic | dental services near me | best dental office | dental offices near me | dental care near me | dental check up near me | best dentists in my area | dental health care | recommended dentists near me | the dental clinic | the best dental | best online dentist | dental health | the best dentists near me | dentist book appointment online | surgical tooth extraction near me | dental appointment online | dentist near me best | dental appointment near me | best dental health insurance | dental check up | teeth care | oral extraction | dentist for extraction near me | best dentist reviews near me | best wisdom teeth removal near me | book dental appointment online | online dental | dental doctor near me | near by dental clinic | dentist doctor | dental procedures | best dentist office near me | online dental care | tooth dr | near dental clinic near me | top dental clinic | best dental place near me | the dentist office | great dentists near me | dental care clinic near me | dental 4 | dental clinic best | dental care dentist | online dental treatment | best dentists for seniors near me | dental cleaning | top best dentist near me | tooth repair | dentist book online | best dentist around me | dental clinic near by me | excellent dentist near me | good dental clinic near me | oral extraction near me | best dentist for braces near me | tooth clinic | book dental appointment online near me | dentistry dental | extraction near me | dentist available near me | any dental clinic near me | teeth clinic near me | near me best dental clinic | best dental coverage | the dentist near me | dentists by me | dentist available now | top 5 dentist near me | dentist near me appointment online | dentist and orthodontist | dentist dental care | book appointment for dentist | best teeth | general dentistry near me | best dental insurance for wisdom teeth removal | dental clinic near by | near to me dental clinic | teeth doctor | good dentists in my area | reputable dentists near me